McLean, VA Dental Bone Grafting & Tooth Extractions Prepare your smile for dental implant success
Rebuild what was lost
Suffering from advanced gum disease or other damage? Tooth extraction may be the best solution for preserving your oral health. However, removing a tooth can impact your health in other ways.
Your tooth roots stimulate the supporting jawbone, helping maintain your ability to chew, speak, and more. When a tooth is removed, the jaw loses this important stimulation and can dissolve. This not only puts surrounding teeth at risk but also makes it impossible to place a dental implant and restore your smile.
Bone grafting reinforces the structural integrity of your jawbone and prepares the area for a dental implant. At Sculpt Center for Implants & Periodontics, we make this a seamless process, performing extractions and bone grafts in the same visit in our McLean VA office.
Request An Appointment To Get Started
During your initial consultation, Dr. Hasan will assess your oral health and discuss your goals. We’ll create a personalized treatment plan which may include extractions and bone grafting. In many cases, we can remove a problematic tooth and perform bone grafting in just one gentle visit.
No referral is needed. We welcome the opportunity to plan your new smile!
Dr. Hasan is board certified in Periodontology and Dental Implant Surgery and is a national leader in bone grafting. He utilizes modern techniques to augment jaws and bone structures during extraction and/or in preparation for dental implants.
Dr. Hasan may recommend a bone graft if…
- You need a tooth removed: To prevent your jawbone from weakening and to maintain its shape.
- You’re getting a dental implant: To ensure there’s enough strong bone to support the implant.
- A tooth has been missing for a while: To rebuild bone strength and structure before any further dental work.

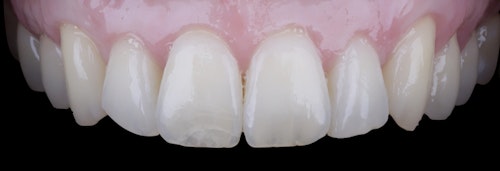
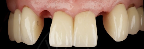
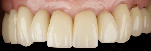
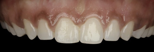
PATIENT
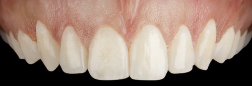
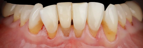
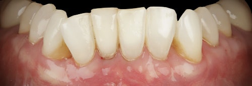
Transformations








“I think the guy has magic hands.”
Experience Matters
Fadi Hasan
DDS, MSD, DABP
Dr. Hasan is uniquely qualified to perform successful extractions and bone grafting in McLean VA. He’s completed additional training and certification in dental implant dentistry to provide the care you deserve during every step of treatment, including extractions and bone grafting. He is one of the few periodontists with this superior level of specialization, allowing him to treat even the most complex cases.
Gentle Extractions Can Refresh Your Oral Health
Learn more about bone grafting
What is bone grafting?
Bone grafting is a procedure to replace or augment bone in the jaw, often required for dental implants or addressing bone deficiencies. It ensures a stable foundation for dental procedures.Do I need a bone graft?
If you’ve lost a tooth or a tooth has been extracted, your jawbone might start to weaken. Bone grafting helps keep the bone strong and shaped correctly, especially if you want to get dental implants later. This procedure adds new bone to your jaw, making it strong enough to support an implant. If you’re thinking about dental implants, a bone graft might be a necessary first step.What happens if I get an implant without a bone graft?
Without the support of a strong and healthy bone structure, a dental implant is more likely to fail long term.
What should I do about a tooth that needs to be extracted?
Don’t delay treatment. Contact us for an evaluation, and we’ll discuss the best approach for your situation, including extraction, bone grafting, and replacement.
Request an appointment to get started
During your consultation, Dr. Hasan will assess your oral health and discuss your goals. We’ll create a personalized treatment plan which may include extractions and bone grafting. We can often remove a problematic tooth and perform bone grafting in just one gentle visit.
No referral is needed. We welcome the opportunity to improve your smile and health.


