Improve Your Smile With Our McLean Periodontist and Implant Dentist
Meet
Dr. Fadi Hasan

Dr. Fadi Hasan obtained his Doctor of Dental Surgery from the University of Colorado, then went on to complete his three-year periodontics residency at the Virginia Commonwealth University (VCU) with a Master of Science in Dentistry. He also obtained board certification with prominent organizations such as the American Academy of Periodontology, the American Board of Periodontology, and the Academy of Osseointegration. These programs require periodontists to pass rigorous tests and dedicate themselves to continuing education.
Dr. Hasan is the Assistant Clinical Professor at the VCU Dental School, Department of Periodontics, where he shapes the next generation of periodontists. He has also been published in peer-reviewed journals on the topics of platelet rich fibrin (PRF) and implant dentistry concerning osseodensification.

Dr. Hasan is known for taking on difficult cases and providing results that truly transform patients' lives.
Today, Dr. Hasan is an implant dentist and periodontist proudly serving McLean, VA, and the surrounding communities. He aims to transform the oral health of patients who suffer from gum disease, missing teeth, and other structural concerns, even if they've been told by other dental professionals that their case is too complex.

Receive Life-Changing Treatment
Contact Our McLean, VA, Office Today
Our McLean team has seen firsthand how dental implants and other restorative procedures can transform patients' lives. After treatment, you'll no longer have to hide your smile, restrict your diet to soft foods, and worry about not speaking clearly. You can simply live your life on your terms.
If you're ready to learn what periodontics and implant dentistry can do for you, we invite you to reach out to our McLean, VA, office.
(703) 962-4119
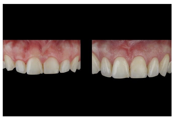
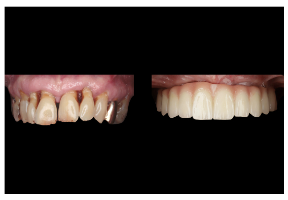
Changing Lives Our Real Patient Cases
Learn About Our Practice From Dr. Hasan and Actual Patients
After a lifetime of oral health problems, Donald came to us for extractions and implants. He was surprised at how gentle, streamlined, and painless the experience was. He can now live life to the fullest, eating his favorite foods and smiling with confidence.
Our Services At Sculpt Center for Implants & Periodontics
- All-on-4® Dental Implants
- All-on-X Dental Implants
- Bone Grafting
- Crown Lengthening
- Dental Implants
- Emergency Dentistry
- Guided Bone Regeneration
- Gum Recession
- Gummy Smile
- Impacted Canine Tooth
- Orthodontics
- Osseous Surgery
- Sedation Dentistry
- Sinus Lift
- Tooth Extraction
A Streamlined Treatment Plan What to Expect From Our Team
We've carefully planned every aspect of your visit to ensure a comfortable and seamless experience.
Paying for Your Dental Care
Take a Look Around Our Office
Patient Resources
“You’re in great hands.”
5-Star Reviews for Our McLean Periodontist
Dr. Hasan and his team have gone out of their way again and again and again over the course of my treatment to ensure I feel comfortable, safe, and well-informed. They have shown amazing kindness, endless patience, and a consistent willingness to adapt to my needs/desires, even at great inconvenience to themselves. I’m an extremely anxious person, but I genuinely feel I couldn’t be in better hands.
View On GoogleDr. Hasan is the best there is. He’s an expert on everything bone/gum; he’s an educator; he’s part of a wide network of other top dental surgeons; he uses the latest technology and he’s at the top of his game. I’m so grateful to Dr. Hasan and his team, who have taken care of me for the past 4 years. He’s so attentive, skillful and kind — and he really cares! He wants his patients to be healthy and have the best possible outcome. I wouldn’t hesitate to recommend him. Don’t worry, you’re in great hands.
View On Google










